And now, by all the words the preacher saith,
I know that time, for me, is but a breath,
And all of living but a passing sigh,
A little wind that stirs the calm of death,
Hakim Omar Khayyam (1048-1131 CE)
Introduction
Tracheostomy refers to a procedure that exteriorizes the trachea to the skin of the neck, producing a transient fistula/opening. A ‘tracheotoma’ is a permanent opening into the trachea through the neck, it refers to the opening after permanent laryngectomy.
In this review article, we will not delve into different approaches to “front of neck airways”, but the focus will be on Percutaneous Dilatational Tracheostomy, which was introduced by Pasquale Ciaglia in 1985.
History of tracheostomy
Tracheostomy procedures are known to antiquity but were infrequently performed until the beginning of the 19th century. Even until the 1950s its use was limited to surprisingly few conditions. In the 1960s, tracheostomy came to be accepted in the management of lower respiratory tract obstruction and for prolonged mechanical ventilation and these today constitute the major indications for its use.
Procedures of pharyngotomy have a long-lasting history. The first operations were found on the ancient Egyptian clay tablets dating back to 3600 BC (see Tablet from Abydos).
Image: Pahor L. Ear, Nose and Throat in Ancient Egypt. J of Laryngol. Otol. 1992; 106: 773-779.
According to the legend, Alexander the Great used his sword to open the airway of a soldier choking from a bone stuck in his throat.
The writings of Aretaes (2nd century AD) and Galen (2nd-3rd century AD) document tracheostomy
performed by the Greek physician Asclepiades about 100 BC [1, 2].
Tracheostomy appeared in the medical texts during the Islamic Golden Age (ca 750-1257 CE), along with technical innovations and changes. The history of tracheostomy in Renaissance and modern Europe has been extensively studied, and readers are referred to reviews by Szmuk et al [3] and Missori et al [4].
The first scientific reliable description of successful tracheostomy by the surgeon who performed it, was by Antonio Musa Brassavola in 1546, for relief of airway obstruction caused by enlarged tonsils [5]. Brassavola also studied botany and medicine, a genus of orchid, called Brassavola is named after him.
Between 1546-1833AD, only 28 successful tracheostomies were recorded, and almost all were for relief of upper airway obstruction.
On 14th December 1799, George Washington passed away probably because of upper airway obstruction which could have been managed if tracheostomy was performed on him [6].
In the early 20th century, tracheostomy was made much safer, and the technical aspects of the procedure were refined and described in detail by famous surgeon Chevalier Jackson [7]. He was an American pioneer in laryngology and is also known as the “father of endoscopy”.
Tracheostomy was subsequently used extensively during the polio epidemic in 1940-50s.
In the second half of 20th century, three developments intersected: skin-to-artery catheterisation, percutaneous tracheostomy and the introduction of video-chip camera tipped endoscopes. By the millennium, every vessel within the body could be visualised radiographically, and percutaneous tracheostomy could consistently be done at the patient’s bedside. Initiated through the skin and abetted by guidewire insertion, these procedures are the lasting gifts of SvenIvar Seldinger (1921-1998) of Sweden and Pasquale Ciaglia (1912-2000) of New York.
The principal technique of contemporary percutaneous tracheostomy was introduced by the surgeon Pasquale Ciaglia in 1985(“basic Ciaglia technique”) [8], further refined in 1999 (“Ciaglia Blue Rhino”) [9] and in 2005 (“Ciaglia Blue Dolphin”) [10]. After tracheal puncture and guidewire insertion, tissues and anterior tracheal wall are dilated using either up to seven progressively larger dilators (basic technique), a curved, hydrophilic-coated single-step dilator (Blue Rhino), or a fluid-filled high-pressure balloon (Blue Dolphin) respectively. The procedure concludes with the insertion of a tracheal cannula using Seldinger technique. Regardless of the technique chosen, continuous bronchoscopic surveillance of the entire procedure is strongly recommended.
Indications for Tracheostomy (PDT)
Currently, in the US 800,000 and in England and Wales around 15000 tracheostomies are performed every year. The most common indications for tracheostomy are:
(a) Acute respiratory failure and the need for prolonged mechanical ventilation (about 2/3rd of all cases).
(b) Traumatic or catastrophic neurologic insults requiring airway, or mechanical ventilation or both. Several studies document that 10% of mechanically ventilated patients undergo tracheostomy, but there is significant variability regarding optimal timing and patient selection [11, 12].
Table-1 shows the list of indications for PDT.
ABC approach
Table-1: List of Indications for PDT
Contraindications to (PDT): ABC approach
In some situations, percutaneous tracheostomy is contraindicated, and surgical tracheostomy is advisable. Table 2 shows the list of absolute and relative contraindications to percutaneous tracheostomy.
Table-2: List of contraindications to PDT
Steps of Percutaneous Tracheostomy, Ciaglia Basic Approach [8]
Percutaneous tracheostomy is a short POC procedure but should be considered like any other surgical interventions. Consent must be appropriate, and the coagulation status must be assessed before commencing. Enteral nutrition should be stopped; but NG tubes can be aspirated to empty the stomach. Usually, these patients are invasively monitored in addition to having EtCO2, SaO2, ECG and BIS. Ideally, there should be two anaesthetists (one to perform the procedure, at least one to manage the airway, anaesthesia, and any bronchoscopy) and an ITU nurse. Sedation will need to be catered to patient needs, and it is usual to administer a muscle relaxant. Ultrasound scan and fibre-optic scope are helpful while doing percutaneous tracheostomy. This A-Z approach (see table-3) is based on Ciaglia basic technique. The clinicians have the option to use the refined approaches if they have the appropriate kits.
Table-3: Steps of PDT
Complications of PDT
A recent review of the University Health System Consortium database analysed 44,124 acute respiratory failure patients, 4776(10.8%) of whom underwent tracheostomy. Tracheotomised patients had higher rates of morbidity but lower rates of mortality (20.6%) than non-tracheostomised patients. Also, hospital stay, and resource utilization was more in these patients [13].
The displaced or blocked tracheostomy tube may cause dyspnoea, hypoxia and rapid deterioration in critically ill patients. There were 14 cases of displaced tracheostomies reported to NAP-4 with half of these resulting in death. Displacement occurred during movement of patients, and lack of capnography was seen as contributing to delays in recognition of there being a problem. Obese patients were found to be particularly at risk and problems with standard tracheostomy sizes were highlighted.
If a PDT is displaced within a week of insertion, a stable tract may not have been formed making re-insertion of the tracheostomy tube difficult and potentially hazardous.
Secretions, blood, or foreign bodies may cause tracheostomy blockage.
In the Royal College of Anaesthetists NAP- 4 of major airway complications in the UK, there was one case of failed PDT insertion that resulted in brain damage [14].
Complications range from 5-40% and average mortality is 2%. Complications frequently happen in emergency cases, severely ill and children. Complications are sub-grouped into immediate, short-term, and late: See table 4.
ABC approach
Table-4: complications of PDT
All patients who have PDT should be followed up after decannulation. The follow up rates in the literature vary widely and many studies do not follow-up patients beyond insertion. Tracheal stenosis is the most serious complication and may originate from the cuff site-although regular cuff pressure monitoring may help to reduce this-or more usually the site of the stoma.
Patients may present with stridor or dyspnoea although many are asymptomatic. Symptoms may occur as a result of exercise or stress. Referral to thoracic surgeon is warranted for reconstructive surgery.
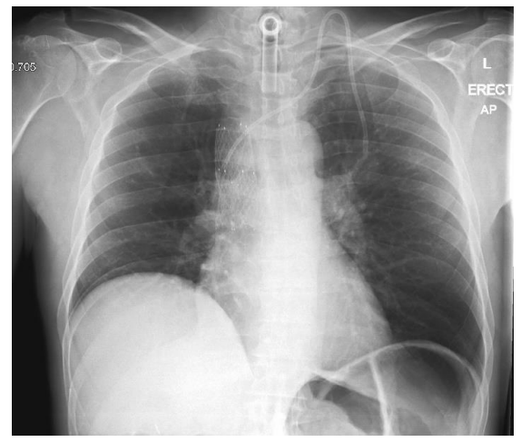
1. Chest X-ray showing SVC stent and tracheostomy tube in situ (Case courtesy of Henry Knipe, Radiopaedia.org, rID: 31410)
2. Armoured tracheostomy tube (Case courtesy of Daniel J Bell, Radiopaedia.org, rID:149862)
Conclusion and future
A growing body of literature demonstrates that PDT performed in ITU is a safe procedure, even in high-risk patients. Advances in techniques, together with adjuncts to improved visualization, seem promising and likely to further improve the safety of the technique.
The opinion about the potential benefit from tracheostomy and when it should be performed is based on clinical judgement. Patients with severe trauma; those with burns to the face, neck and upper airway; and those with neurological injury unable to protect the airway are more easily identified as candidates for early tracheostomy [15]. Several studies have proposed scoring systems for prediction of prolonged intubation, which may provide a basis for future research into the benefits of early tracheostomy [16,17]. Durbin et al proposed an algorithm that incorporates the literature to identify patients who may benefit from early tracheostomy which might be used as a foundation for future studies [18].
Declaration of interest:
The authors declare no conflict of interest.
References:
- Galen; Introduction Seu Medicus. Kuhn CG (trans) Leipzig,1827, vol 14, p 734
- Aretaes: The Therapeutics of Acute Diseases. Adam F(trans), London, The Sydenham Society, 1856,
Chapter7 - Szmuk P, Ezri T, Evron S, Roth Y, Katz J.A brief history of tracheostomy and tracheal intubation, from Bronze age to the Space Age. Intensive Care Med.2008; 34: 222-8
- Missori P, Brunetto GM, Domenicucci M. Origin of the cannula for tracheostomy during Middle Ages and Renaissance. World J Surg. 2012; 36: 928-34
- Antonio Musa Brassavola “A Brief History of the Tracheostomy” American Academy of Otolaryngology
- Blanton, Wyndham B, “Washington’s medical knowledge and its Sources”, Annals of Medical
History,4(1932),52-61 - Eriksson, Sven E.; Jobe, BlairA.; Ayazi, Shahin (July 17,2023) “Chevalier Jackson: father of endoscopic
surgery, and champion of women in medicine, social justice, and public health” Surgical
Endoscopy.37:6660-6671. Doi:10.1007/s00464-023-10256. PMC 10462558.Retriewed September 2023 - Ciaglia P, Firsching R, Syniec C. Elective percutaneous dilatational tracheostomy. New simple bedside
procedure; preliminary report. Chest. 1985; 87:715-9 - Byham C, Wilke HJ, Halbig S, Lischke V, Westphal K. Percutaneous tracheostomy Ciaglia Blue Rhino versus basic Ciaglia technique of percutaneous dilatational tracheostomy. Anaesthesia Analg. 2000; 91:882-6
- Zgoda MA, Berger Balloon-facilitated percutaneous dilatational tracheostomy: preliminary report of a novel technique. Chest.2005; 128:3688-9
- Frutos-Vivar F, Esteban A, Apezteguia C, Anzueto A, Nightingale P, Gonzalez M, et al. Outcome of
mechanically ventilated patients who require tracheostomy. Crit Care Med 2005;33(2):290-298. CrossRef PubMed Google Scholar - Nathans B, Rivara FP, Mack CD, Rubenfeld GD, Wang J, Jurkovich GJ, Maier RV. Variations in rates of tracheostomy in the critically ill trauma patients. Crit Care Med 2006; 34(12): 29192924.Pubmed Google Scholar.
- Freeman M, Arslanian-Engoren C, Fenn-Buderer N, Hospital, and long-term outcome after tracheostomy for respiratory failure. Chest 2004; 125(1):220-227.CrossRef PubMed Google Scholar
- Cook TM, Woodall N, Harper J, Benger J. Major complications of airway management in the UK: results of the 4th NAP of RCA and DAS.Part-2 intensive Care and Emergency Department, Br J Anaesth, 011, vol.1069pg623-42). Google Scholar World Cat
- Heffner JE, Zamora CA, Clinical predictors of prolonged trans laryngeal intubation in patients with ARDS. Chest 1990;97(2):447-452
- Troche G, Moine P. Is the duration of mechanical ventilation predictable? Chest 1997;112(3):745-751.
- Gajic O, Afessa B, Thompson BT, Frutos-Vivar F, Malinchoc M, Rubenfeld GD, et al, Prediction of death and prolonged mechanical ventilation in acute lung injury. Crit Care2007’11(3): R53
- Dr. Charles Durbin presented a version of this paper at the 25th New Horizons Symposium, “Airway
Management: Current Practice and Future directions,” at the 55th International Respiratory Congress of the American Association for Respiratory Care, held December 5-8,2009, in San Antonio, Texas.
Authors and Contributors:
1. Dr. Sher Mohammad, Consultant Anaesthetist (retired), STH NHS FT Sheffield
2. Dr. Salman Yahya, Clinical Fellow Anaesthetics, STH NHS FT Sheffield
3. Dr. Amjad Hussain, Specialist Registrar Radiology, STH NHS FT Sheffield
4. Dr. Gul Rukh, Year-2 Trainee Anaesthetics, Khyber Teaching Hospital Peshawar.
Correspondence address: khattakyahya@gmail.com
Images: Authors own











